
O ultrassom
portátil mais
avançado do
mundo.
Desenvolvido com a nova geração da tecnologia Ultrasound-on-Chip™, o Butterfly iQ3+ entrega performance premium com um único transdutor universal.
Tudo isso conectado à nuvem, assistido por IA e acessível em qualquer lugar.
Destaques técnicos






Ferramentas avançadas de imagem
Imagens rápidas da mais alta qualidade.

Agulha: Fora do Plano™
Uma predefinição projetada para visualização mais precoce da ponta da agulha, a 1 mm do ponto de entrada, permitindo procedimentos mais bem-sucedidos.

Biplano™
O primeiro POCUS Biplane Imaging portátil do mundo torna possível ver o eixo curto e longo do seu exame em tempo real.

NeedleViz™
Isso facilita a identificação da agulha e a obtenção do controle necessário durante procedimentos guiados no plano.

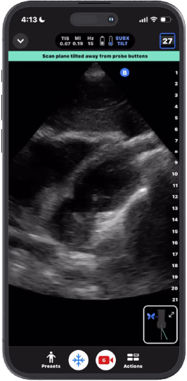
Inclinação subxifoide™
Esse recurso inclina o feixe para facilitar a captura da imagem, reduzindo a necessidade de um ângulo raso e possível pressão para visualização.

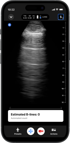
Contador automático de linhas B
Produz uma contagem de linha B a partir de apenas um clipe de ultrassom de seis segundos, simplificando a avaliação da dispneia.

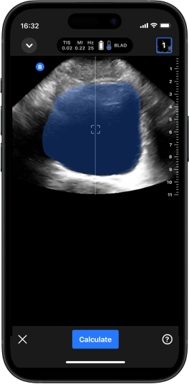
Bexiga Automática
Oferece cálculos automatizados do volume da bexiga, com visualizações 3D, em segundos. Simplifica a avaliação da retenção urinária para scanners menos experientes.

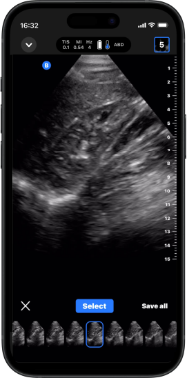
iQ Slice™
Em um momento em que a precisão é essencial, segure a sonda em um lugar enquanto ela captura várias imagens em um ângulo amplo.

iQ Fan™
Esta ferramenta dedicada ao pulmão permite que você se beneficie da inclinação virtual para frente e para trás em tempo real, facilitando a visualização das linhas A.

Especificações técnicas
Frequência de operação:
1–12 MHz (adaptativa, conforme o preset)
Modos de imagem:
B, M, Color Doppler, Pulsed Wave Doppler
Resolução de imagem:
comparável a equipamentos de console premium
Compatibilidade:
iOS e Android
Conectividade:
USB-C e Wi-Fi (com app dedicado)
Integração com PACS / Cloud:
sim
Exportação de imagens e loops:
sim, em DICOM ou formatos compatíveis
Armazenamento seguro:
via Butterfly Cloud com backup e gerenciamento de pacientes
Para quem
é ideal
- Hospitais de alta complexidade
- Clínicas que realizam procedimentos
intervencionistas - Médicos com alto volume de atendimento
e exigência técnica - Instituições que desejam atualizar protocolos
com ultrassonografia de ponta